11
2023
-
08
微波消融治疗原发性肝癌病例分享
微波消融治疗原发性肝癌病例分享
基本信息
患者男,64岁
主诉
肝癌栓塞术后1个月
既往史
消化道出血病史3个月,TIPS术后,肝癌病史1个月(肝动脉化疗栓塞术2023.04.19)
查体
T:36.4℃ P:80次/分 R14次/分 BP:126/71 mmHg;神清,肝掌阳性,可见蜘蛛痣;皮肤可见黄染。巩膜轻度黄染,双瞳等大正圆,对光反射灵敏,颈软,无抵抗,双肺呼吸音清晰,未闻及干湿啰音;腹部平软,无压痛,无反跳痛及肌紧张,肝脾肋下未触及,移动性浊音阴性;双下肢无水肿。
诊断
原发性肝癌
术前实验室检查
2023.05.19 住院肝功(重损)、肾功五项:
白蛋白 27.8 g/L, 谷丙转氨酶 26.9 U/L, 谷草转氨酶 32.5 U/L, 总胆红素 38.6 umol/L, 胆汁酸 40.7 umol/L, 尿素氮 4.3 mmol/L, 前白蛋白 59 mg/L, 肌酐 53.0 umol/L, 胆碱酯酶 3213 U/L, 直接胆红素 19.0 umol/L, 谷氨酰转肽酶 44.4 U/L, 总蛋白 62.0 g/L, 白球比例 0.8 , 球蛋白 34.2 g/L, 间接胆红素 19.6 umol/L, 尿酸 391 umol/L, 肾小球滤过率 106 ml/min/1.73m^2, 甘胆酸 17.8 ug/ml 2023.05.19 无机离子4项、葡萄糖: 血糖 4.1 mmol/L, 钾 4.2 mmol/L, 钠 142 mmol/L, 氯 111 mmol/L, 二氧化碳 18 mmol/L 2023.05.19 血细胞分析: *白细胞 1.1*10^9/L, *红细胞 3.17*10^12/L, *血红蛋白 76 g/L, *血小板 56*10^9/L, 中性粒细胞百分比 49.6 % 2023.05.19 肿瘤三项: 甲胎蛋白 2.44 ng/ml, 糖类抗原199 24.75 U/mL, 癌胚抗原 3.61 ng/mL。
术前影像学检查

2023.03.27
MRI + 增强
MRI报告:肝硬化,脾大;肝右叶后上段小肝癌可能性大
肿瘤大小:1.8*1.3cm
手术方案
手术时间:2023.05.29
手术方案:微波消融、消融功率50W、消融时间5分钟
MDT讨论:肝右叶单发病灶
治疗选择:首选外科切除,患者拒绝;介入治疗,微波消融,患者接受,可以行微波消融术
微波消融手术方案:
肝右叶S6段1.8*1.3cm肿瘤:微波消融 50W消融5min
过程描述:患者取仰卧位,CT扫描确定肝右叶病灶、大小、穿刺点、穿刺路径及穿刺深度及方向,消毒穿刺区域皮肤,1%利多卡因局麻后,按照穿刺计划将16G微波针1根穿刺至肝右叶S6段肿瘤内,再次扫描见穿刺位置满意,遂按计划对肝右叶S6段肿瘤进行消融(消融条件:50W/5min),再次扫描见消融效果满意,体表包扎固定,术程顺利 。
CT引导下消融

术后实验室检查
血细胞分析:*白细胞 1.3*10^9/L, *红细胞 3.25*10^12/L, *血红蛋白 77 g/L, *血小板 47*10^9/L, 中性粒细胞百分比 49.4 % ;
2023.06.01 无机离子4项、葡萄糖: 血糖 4.4 mmol/L, 钾 4.1 mmol/L, 钠 134 mmol/L, 氯 104 mmol/L, 二氧化碳 19 mmol/L;
2023.06.01 血凝常规五项: 凝血酶原时间 18.7 S, 凝血酶原活动度 48.1 %, 国际标准化比值 1.58 , 纤维蛋白原 1.844 g/L, 部分凝血酶原时间 40.1 S, 凝血酶时间 18.7 S, D-二聚体 0.42 mg/L;
2023.06.01 住院肝功(重损)、肾功五项: 白蛋白 31.2 g/L, 谷丙转氨酶 20.2 U/L, 谷草转氨酶 51.0 U/L, 碱性磷酸酶 70.9 U/L, 乳酸脱氢酶 182.3 U/L, 总胆红素 37.6 umol/L, 胆汁酸 68.2 umol/L, 尿素氮 3.7 mmol/L, 前白蛋白 45 mg/L, 肌酐 37.3 umol/L, 胆碱酯酶 3639 U/L, 直接胆红素 17.7 umol/L, 总蛋白 65.3 g/L, 白球比例 0.9 , 球蛋白 34.1 g/L, 间接胆红素 19.9 umol/L, 谷草酶:谷丙酶 2.5 , 尿酸 276 umol/L, β2-微球蛋白 3.98 mg/L, 肾小球滤过率 122.67 ml/min/1.73m^2, 甘胆酸 17.5 ug/ml
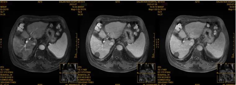
术后MRI检查(2023.07.28)

肝右叶后上段见一术后病灶,直径约2.0cm,增强扫描病灶及灶周未见确切异常强化;
肝右叶后上段小肝癌介入术后,未见确切异常血供。
疗效评估
治疗后,达到CR
SUMMARY 小 结
本例患者为原发性肝癌,使用微波消融后,病灶未见强化,疗效达到CR。

作者丨赵旭 教授
赵旭,大连市公共卫生临床中心放射介入科,主治医师 硕士学位
国家肿瘤微创治疗产业技术创新联盟门脉高压专业委员会 委员
以第一作者发表SCI论文2篇 中华论文1篇,核心论文多篇
推荐新闻
2024-08-26
2024-08-23
2024-08-12
2024-07-16
2024-05-30
2024-05-25